• 2473阅读
  • 1回复

[义乌城事]5岁小孩蛀牙了需要补吗 [复制链接]

上一主题 下一主题
离线梧桐妹妹
 

发帖
36
奖学金
65
威望
1764
微信分享到朋友圈 图酷模式 只看楼主 倒序阅读 腔主  发表于: 01-14 , 来自: 浙江省金华市
马上注册,结交更多好友,享用更多功能,让你轻松玩转义乌十八腔,更多精彩评论请登录后查看。
  已有账号?点击登录
关闭
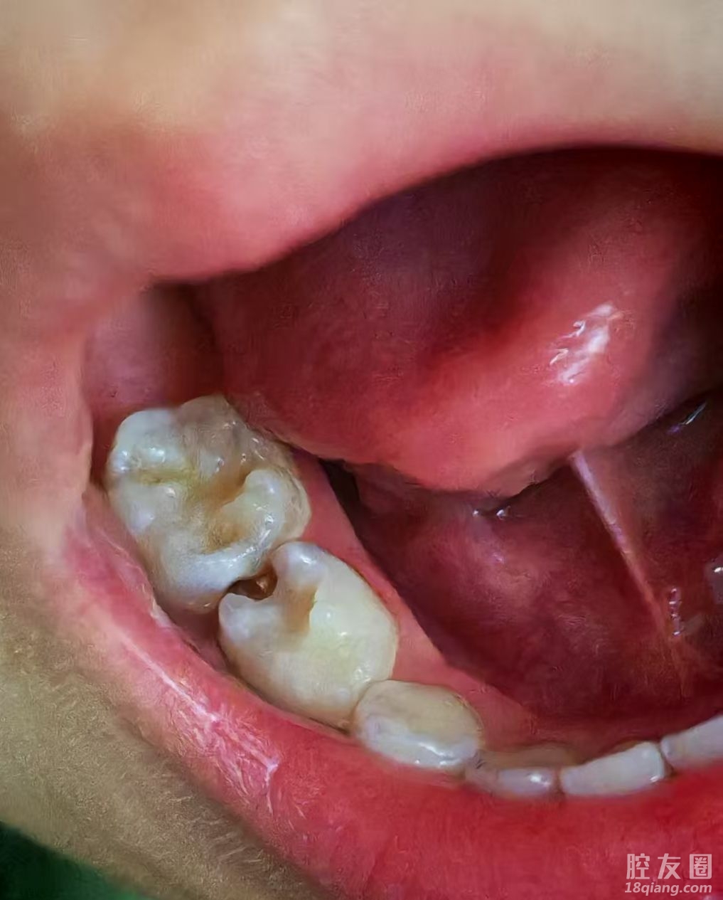
问下大家,5岁小孩牙齿蛀掉了,需要补牙吗,去哪里补好点?
请输入描述
热点话题
特别声明:帖子及回帖全部内容为论坛用户自行上传发布并承担相应的法律责任,不代表本网站观点和立场,本网站仅提供信息存储服务。任何用户如认为页面上的特定内容涉及侵权,可通过页面底部侵权投诉指引向我们进行投诉。
离线切糕派

发帖
0
奖学金
883
威望
2606
只看该作者 沙发  发表于: 01-14 , 来自: 浙江省杭州市
小洞不补大洞吃苦
    本帖共有1条回复,请登录后查看。
      已有账号?点击登录
    快速回复
    限100 字节
    如果您提交过一次失败了,可以用”恢复数据”来恢复帖子内容